50代以降からの歯科矯正

03-5302-3700

WEB予約
キービジュアル
最短「6か月~」で完了

最年長は「70歳」。
年齢は関係ありません

治療が難しい」とされる
以下のケースにも対応可能です。
  • 歯周病」が進んでいる
  • 「ブリッジ」や「入れ歯」が入っている
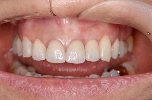
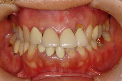
  • 治療前
  • 治療後
矯正とインプラント治療を実施。天然歯のように自然で、きれいな歯並びに。

「総合力」が問われるシニアの矯正治療

年齢とともに、歯周病歯の欠損などのお口の悩みが生じやすくなる傾向があります。そのためシニアからの矯正治療は「難しい」「できない」と思い込んでいる方も多いのではないでしょうか。

当院では、すでに入れ歯やブリッジ、インプラントが入っている方や、歯周病や歯の欠損がある方でも矯正治療を行っております

このような状態では、一般的に「矯正は難しい」とされ、治療を断られることが少なくありません。なぜなら、通常の矯正治療よりも複雑で、矯正以外の専門的な知識や豊富な経験が求められるからです。
当院のドクターは、矯正治療に加え、歯周病欠損補綴(入れ歯・ブリッジ・インプラント)に関する豊富な知識と経験があり、必要に応じて信頼できる専門医とも連携しているため、安心して治療をお任せいただけます

注意!歯周病のまま矯正を行うのは、非常に危険です!!

✅歯の脱落や動揺
歯周病で弱った歯槽骨に矯正の力がかかると、歯の揺れがひどくなり、最悪の場合は脱落してしまう恐れがあります

✅歯周病の進行
矯正による力が加わることで、歯周組織に負担がかかり、歯ぐきの炎症や骨吸収が悪化する可能性があります

✅矯正の質が低下
支えとなる歯槽骨が少なくなると、歯が思うように動かず、矯正治療の効果が十分に得られないことがあります
このように、何もいいことがないのです。
矯正治療を望む多くの方が、「できるだけ早くきれいな歯並びを手に入れたい」と思われています。そのお気持ちはよく分かります。ただ、将来の健康も見据えた判断が大切です。

歯周病を治さずに矯正を始めると、せっかく整えた歯並びもいずれ崩れてしまいます。費用時間もかけたのに、美しい状態が長く続かない、そんな残念な結果になりかねません。

50代以降の矯正治療

50代以降の矯正治療には、若年層とは異なる治療が必要です。

徹底した「歯周病治療」

50代以降の世代では、歯周病の進行により歯槽骨がすでに減少している方も少なくありません。矯正による力が、弱った歯槽骨にストレスを与え、さらなる減少を招く可能性があります

このため、歯周病の患者さんには、まず歯周治療を行い、歯周組織の状態をしっかりと改善することが大切です。歯周組織の健康状態は、歯の動き方やスピード、歯根吸収のリスクなど、治療の精度に大きく影響するため、丁寧な治療が欠かせません。

当院では、歯周病専門医大学病院と連携しており、重度の歯周病にも対応可能です。初期治療で炎症を抑えたことを確認したうえで、矯正治療へと進めてまいります。

「欠損した歯」を考慮した治療

年齢の影響で、すでに歯を一部失っている方もいるかもしれません。その際には、まず矯正治療で歯並びを整えた後、欠損部分にはインプラントやブリッジなどで補綴を行います

欠損歯があるケースでは、一般的な矯正よりもさらに綿密な治療計画が必要となります。なぜなら、欠損部のスペースを適切に管理し、インプラントやブリッジなどの補綴治療と連携する必要があるため、治療がより複雑になるからです。

当院では、診断結果に基づき、ブリッジをご使用の方については除去の必要性も含めて治療計画を立てていきます。

「セカンドオピニオン」にも対応

矯正治療を始めるにあたり、「年齢的に本当に大丈夫なのか」「自分に合った方法なのか」と不安に思われる方も少なくありません。

当院では、そうした不安を解消していただけるよう、「初診個別相談」や「セカンドオピニオンに対応しています。

精密な検査を行い、現在のお口の状態を丁寧に確認したうえで、最適な治療プランをご提案します。まずはお気軽にご相談ください。

初診「個別」相談へのご案内

当院では、患者さんが抱えていらっしゃるお口のお悩みや疑問・不安などにお応えする機会を設けております。どんなことでも構いませんので、私たちにお話ししていただけたらと思います。
ご興味がある方は下記からお問い合わせください。

お問い合わせ・ご予約は03-5302-3700

〒151-0053 東京都渋谷区代々木4-32-1
トーシンビルミレニアム5F

京王新線「初台駅」東口より徒歩2分