歯根端切除術

03-5302-3700

WEB予約
キービジュアル
「1回~2回」で治療終了

生涯、自分の歯で噛むために
抜かずに治す」、それが当院のこだわり

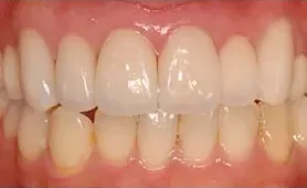
  • 治療前
  • 治療後
  • 治療前
  • 治療後
  • 「セカンドオピニオン」に対応

高い技術を要する「歯根端切除術」の実施

歯の根の先に膿がたまると、多くの歯科医院では「抜歯しかない」と告げられることがあります。

しかし、当院では歯根端切除術」という方法で歯を残せる可能性があります。
根の先端だけを取り除き、膿の原因を取り除く外科的治療です。
大切な歯を守るために、当院はこの術式にも力を注いでいます。

歯根端切除術

根管治療が不十分な場合、歯根の先端に膿の袋(歯根嚢胞)が形成されることがあります

膿の袋が大きすぎる場合は抜歯が必要になりますが、そうでなければ外科的に根の先端を切除し、同時に膿の袋を取り除く処置を行います。

抜歯の前に、まずはご相談を。
「セカンドオピニオン」に対応

「抜歯しか方法がない」と告げられ、不安に感じている方は少なくありません。
そんな時に役立つのが、「セカンドオピニオン」です。

当院では、患者さんのお話を丁寧に伺い、精密検査のうえで治療の選択肢をわかりやすくご説明しています。
また当院は、難症例にも対応可能で、一般的には残せないと言われる歯でも歯根端切除術」により保存できる可能性があります。
治療法に納得して進められることが、歯を守る第一歩です。抜歯を勧められた方も、ぜひ一度ご相談ください。

初診「個別」相談へのご案内

当院では、患者さんが抱えていらっしゃるお口のお悩みや疑問・不安などにお応えする機会を設けております。どんなことでも構いませんので、私たちにお話ししていただけたらと思います。
ご興味がある方は下記からお問い合わせください。

お問い合わせ・ご予約は03-5302-3700

〒151-0053 東京都渋谷区代々木4-32-1
トーシンビルミレニアム5F

京王新線「初台駅」東口より徒歩2分