最短「3回~」で治療終了
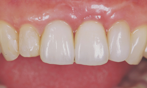
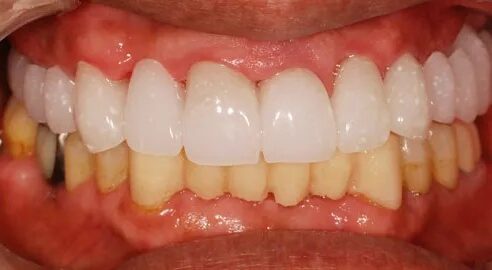
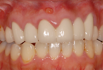
他院の審美セラミック治療で失敗された方へ
せっかくきれいに整えた歯。だけど…
- 周りの歯と色が違う…
- せっかく入れたのに壊れてしまった…
- 食事の際に違和感がある…
- かみ合わせが合わなくて痛む…

03-5302-3700
WEB予約


















| 広島大学歯学部 卒業 |











| 大阪歯科学院夜間学科 卒業 実技最優秀賞受賞 | |
| 大阪セラミックトレーニングセンター 卒業 山本賞受賞 | |
| 渡独 Labor Weiss 勤務 | |
| 大阪セラミックトレーニングセンター インストラクター就任 | |
| D.デンタルセラミスト 開業 | |
| 大阪セラミックトレーニングセンター大阪校 校長 | |
| Ivoclar vivadent Japan e.max インストラクター | |
| その他、書籍のほか執筆や国際大会での講演多数 |


当院では、患者さんが抱えていらっしゃるお口のお悩みや疑問・不安などにお応えする機会を設けております。どんなことでも構いませんので、私たちにお話ししていただけたらと思います。
ご興味がある方は下記からお問い合わせください。