インプラント/オールオン4

03-5302-3700

WEB予約
キービジュアル
「2回~複数回」で治療終了

インプラント「専門医」である
院長が必ず担当します

2~3本であれば、「1時間」で終了。
  • 「切らない/縫わない」インプラント
  • 「その日」に噛めるインプラント
  • 寝て起きたら治療完了「睡眠無痛治療」
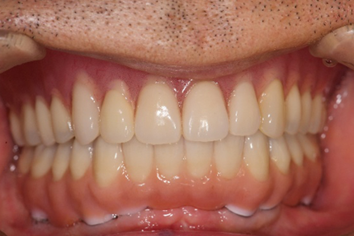
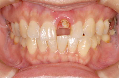
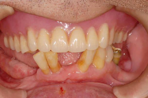
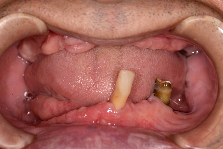
  • 治療前
  • 治療後
  • 治療前
  • 治療後
  • 治療前
  • 治療後
  • 治療前
  • 治療後
  • 治療前
  • 治療後
  • 治療前
  • 治療後
  • 治療前
  • 治療後

負担を抑えた、安全なインプラント治療

インプラントは、入れ歯やブリッジと並ぶ、歯を失った際の代表的な治療法です。

その最大の特徴は、他の歯を削ったり支えにしたりせずに、単独で噛む力と見た目を回復できるという点にあります。まるで自分の歯のような自然な噛み心地を取り戻せるため、他の方法では得られない快適さと機能性を実現できます。

ただし、インプラント治療には外科手術が伴うため、「痛みが不安」「手術が怖い」と感じる方も少なくありません。
そこで当院では、患者さんの身体的・精神的な負担を最小限に抑え、安心して治療を受けていただける環境づくりに力を入れています。

このあとでは、当院が行っているインプラント治療のこだわりと取り組みについて、詳しくご紹介いたします。

インプラント「専門医」を始め、チーム医療で
「高品質」「自然美」を追求した治療を提供

岡歯科医院には、日本口腔インプラント学会が認定する「専門医」が在籍しています。
この資格は、高度なインプラント治療技術と豊富な臨床経験を持つ歯科医師にのみ与えられるものです。取得には数多くの症例実績に加え、学会やセミナーへの継続的な参加が求められ、5年ごとの更新制度も設けられています。

また当院では、2か月に1回、歯科医師向けのインプラント技術セミナーを開催。常に最新の知識と技術を学び続けることで、安全かつ高品質な治療の提供に努めています。

さらに、国内外で活躍する歯科技工士と連携することで、機能性だけでなく、自分の歯に近い「自然美」を追求した被せ物を製作しています。

院長 岡 昌由記

院長 岡 昌由記
経歴
広島大学歯学部 卒業
資格・所属学会・団体
  • 日本口腔インプラント学会 専門医
  • 日本顎咬合学会
  • 日本臨床歯周病学会
  • 日本審美歯科学会
  • 東京JIADSスタディクラブ
  • オステオインテグレーションジャパン
  • 2か月に1度ドクター向けセミナー実施
  • サティフィケイト
  • サティフィケイト
  • サティフィケイト
  • サティフィケイト
  • サティフィケイト

歯科技工士 脇田 太裕

歯科技工士 脇田 太裕
経歴
大阪歯科学院夜間学科 卒業 実技最優秀賞受賞
大阪セラミックトレーニングセンター 卒業 山本賞受賞
渡独 Labor Weiss 勤務
大阪セラミックトレーニングセンター インストラクター就任
D.デンタルセラミスト 開業
大阪セラミックトレーニングセンター大阪校 校長
Ivoclar vivadent Japan e.max  インストラクター
その他、書籍のほか執筆や国際大会での講演多数

精密な検査と診断で実現する、安全なインプラント治療

インプラント治療を成功に導くためには、事前の精密な検査と正確な診断が欠かせません。

当院では、「歯科用CT」や「i-CAT」などの高精度な機器を活用し、顎の骨の状態や神経・血管の位置まで詳細に把握したうえで、一人ひとりに適した安全な治療計画を立てています。

歯科用CT

インプラントは、顎の骨に人工歯根を埋め込む治療です。
そのため、骨の厚み・高さ・質のほか、神経や血管の位置を正確に把握することが非常に重要です。

このような診断に活躍するのが「歯科用CT」です。
CTは、従来のレントゲンと同じくX線を使いますが、機器がお口の周囲を360度回転しながら撮影することで、立体的で高解像度な3D画像を得ることができます。
これにより、より安全で正確なインプラント埋入位置の診断・計画立案が可能となります。

i-CAT

当院では、安全で精度の高いインプラント治療を実現するために、歯科用3D-CT「i-CAT(アイキャット)」を導入しています。

i-CATは、骨の厚みや形、神経や血管の位置まで立体的に把握できる高性能な装置です。
これにより、手術前の段階で埋入位置・方向・深さ・インプラントのサイズまで細かくシミュレーションすることが可能になります。

従来は歯ぐきを切開して初めて分かった情報も、CT画像で事前に確認できるため、経験や勘に頼るだけでなく、データに基づいた治療計画を立てられるようになりました。
これが治療の安全性・正確性の大きな向上につながっています。
なお、必要に応じて実際の視診とCT画像のダブルチェックを行い、より確実な治療につなげています。

サージカルガイド

ケースによっては、事前シミュレーションをもとに「サージカルガイド」という専用装置を作成します。

サージカルガイドは口腔内に合わせたマウスピース型で、インプラントを埋め込む位置にガイド孔が設けられているのが特長です。
手術時に装着することで、設計通りの位置・角度・深さに正確に埋入でき、ズレやミスを防ぎ、安全かつ精密なインプラント治療を実現します。

ピエゾサージェリー

インプラント治療では、顎の骨が不足している場合に「骨造成」が必要になることがあります

その際に活躍するのが「ピエゾサージェリー」という装置です。
超音波振動で骨だけを選択的に削れるため、歯ぐきや血管などの軟らかい組織を傷つけにくいのが特長です。

これにより、難症例でも周囲の組織を守りながら、安全かつ精密に骨造成を行うことができ、より安心して治療を受けていただけます。

注目不安・痛みほぼゼロ「睡眠無痛治療」

インプラント治療では外科的な手術が必要となるため、「痛みが不安」「手術が怖い」と感じる方も少なくありません。
そうした方におすすめしているのが、「睡眠無痛治療(静脈内鎮静法)」です。

この方法は、点滴で鎮静剤を投与し、うたた寝をしているようなリラックスした状態で治療を受けていただく治療法です。
全身麻酔とは異なり、呼びかけには反応できる浅い眠りのような感覚で、ほとんど痛みや恐怖を感じずに治療を終えられるのが特徴です。

実際にこの方法で手術を受けた患者さんからは、「気がついたら終わっていた」というお声を多くいただいています。

「切らない・縫わない」フラップレス手術

一般的なインプラント手術では、歯ぐきを切開してインプラントを埋入するため、術後に痛みや腫れ、出血が起こることがあります。
そこで、患者さんの負担を少しでも軽くするために開発されたのが、切開・縫合を伴わない「フラップレス」です。

この術式では、「歯肉パンチ」と呼ばれる専用器具を用いて、歯ぐきに小さな穴をあけ、そこからインプラントを埋め込みます。
フラップレスの主なメリット
✔ メスでの切開が不要
→ 術後の痛みや腫れ、出血が大幅に軽減されます。

✔ 縫合が不要
→ 傷が小さいため、治癒が早く回復もスムーズです。

この方法もすべての患者さんに適応できるわけではありませんが、当院では可能な限り負担の少ない方法を優先的にご提案しています。

手術当日に歯が入る「抜歯即時荷重」

通常のインプラント治療では、抜歯後に傷口が治癒し、骨が安定してからインプラントを埋め込むため、歯がない状態が数ヶ月続くことがあります。
この期間、見た目や噛みにくさに不安を感じる方も少なくありません。

しかし近年では、技術の進歩により抜歯したその日にインプラントを埋入し、仮歯まで装着できる抜歯即時荷重」が可能となっています。
抜歯即時荷重の主なメリット
✔ 骨造成が不要
→ 抜歯直後の穴にインプラントをそのまま埋入するため、追加の骨造成が不要になるケースが多いです。

✔ 歯ぐきを切開しない
→ 歯ぐきを大きく切ることなく手術ができるため、身体への負担を軽減できます。

✔ 治療期間の短縮
→ 歯がない期間をなくせるため、見た目や機能の不安を最小限に。通院回数も減らすことができます。

なお、この治療法はすべての症例に適応できるわけではありません。骨の状態や全身の健康状態によって、適応の可否が異なります。
詳しくは、担当医にご相談ください。

手術当日に歯が入る「オールオン4」

インプラントは、健康な歯に負担をかけず、自然な噛み心地を再現できる治療法です。
ただし多くの歯を失った場合、1本ずつインプラントを埋めると治療本数が増え、費用や体への負担も大きくなります。

そこで当院では、少ない本数のインプラントで全体の歯を支える「オールオン4(All-on-4)」という治療法をご提案。
オールオン4とは、その名の通り片あごにつき最小4本のインプラントを埋入し、その上にすべての歯を固定する治療法です。
※症例によっては、6〜8本のインプラントを使用する場合もあります。

「オールオン4」のメリット

オールオン4の最大の利点は、骨のある部分を選びインプラントを斜めに埋め込むことで、骨造成を避けつつしっかりと固定できる点です。
そのため従来の治療に比べて手術の負担を軽減でき、手術当日に仮歯を装着し、すぐに噛む・話すといった機能を回復できます。
入れ歯が合わない方や短期間で歯を取り戻したい方にとって、大きなメリットを持つ治療法といえます。

「オールオン4」のリスク

一方でオールオン4は、インプラントの安定性を確保するために顎の骨を一定量削る必要があります。
その結果、骨のボリュームがさらに減少し、鼻の下がくぼむほうれい線が深くなる口元がやせて見えるなど、顔貌の変化を招くリスクもあります。
これはいわゆる“老け顔”と呼ばれる状態につながる可能性があるため、治療を検討する際には機能面だけでなく、見た目への影響についても十分な理解が必要です。

当院の「オールオン4」の特徴

当院では、オールオン4に伴うメリットとリスクを正しく理解していただくことを大切にしています。
特に、顔貌や審美面への影響を考慮し、骨削除の程度やインプラントの角度を丁寧に設計。
患者さん一人ひとりの骨格や表情に合わせて、できる限り自然で若々しい口元を維持できるよう配慮しています。
また、機能面だけでなく美しさを追求することで、快適に噛めることと自信を持てる笑顔の両立を目指しています。

世界シェアNo.1のインプラントメーカーを採用

インプラントは、長期間にわたってお口の中で機能し続ける「身体の一部」となる治療法です。だからこそ、信頼できるメーカーの製品を選ぶことが、治療の成功と安心につながります。

当院では、世界中の歯科医師から支持される、実績と信頼性の高いインプラントシステムを採用しています。

ストローマン

ストローマンは世界シェアNo.1のスイス製インプラントで、70カ国以上で使用されています。

ベルン大学による10年以上の研究で、手術の成功率約97%・残存率約98%という高い実績が示され、長期に安定した治療結果が期待できる信頼性の高いインプラントです。

他院でインプラントを断られた方へ

当院には、「あごの骨が足りない」と他院でインプラント治療を断られた方も多く来院されています。

インプラントは、あごの骨に人工歯根を埋め込む治療のため、骨の量が不足していると固定が難しくなる場合があります

しかし当院では、「骨造成(こつぞうせい)」と呼ばれる骨を増やす処置を行うことで、骨が少ないケースでもインプラント治療を可能にする選択肢をご提案しています。

他院で難しいと言われた方も、あきらめる前にぜひ一度ご相談ください。

安心の5年保証

インプラントは、あごの骨に埋め込む「フィクスチャー(人工歯根)」と、その上に装着する「上部構造(人工歯)」で構成されています。
当院では、フィクスチャー・上部構造の両方に5年間の保証をお付けしています。保証期間内に再治療が必要となった場合、当院が費用を負担いたします。

※保証の適用には、定期的なメンテナンスの受診など、いくつかの条件があります。詳しくはお問い合わせください。

インプラント治療の流れ

STEP① カウンセリング

治療へのご希望やご不安を丁寧に伺い、わかりやすくご説明します。

STEP② 検査・診断

CT撮影により、骨の状態や神経の位置などを立体的に確認。1回法・2回法や即時荷重の適応、骨造成の必要性を診断します。

STEP③ 治療方法のご説明

検査結果をもとに、治療計画をご提案。メリット・デメリットを丁寧にご説明し、ご納得いただいた上で治療を進めます。

STEP④ 虫歯・歯周病の治療

インプラント治療を安全に行うために、お口の環境を整えます。

STEP⑤ インプラント手術

インプラントを埋入します。手術は通常1〜2時間程度。即時荷重の場合は、その日のうちに仮歯を装着することも可能です。

STEP⑥ 治癒期間

インプラントが骨と結合するまで、1~3ヶ月程度の期間を設けます(2回法の場合は後日2次手術を行います)。

STEP⑦ 上部構造の装着

骨との結合が確認できたら、人工歯を装着し、噛み合わせを調整して治療完了です。

STEP⑧ メンテナンス

インプラントを長持ちさせるために、定期的な検診とクリーニングが大切です。

コラム院長から一言
「セカンドオピニオン」にも対応

インプラントは、入れ歯やブリッジと並ぶ代表的な歯の修復方法ですが、「健康な歯を守るための治療という点が見落とされがちです。

ブリッジや部分入れ歯は、残っている歯を支えとして使うため、時間の経過とともに支える歯に負担がかかり、最終的には抜歯に至ることも少なくありません。
一方で、インプラントは周囲の歯に依存せず、独立して機能するため、他の歯を守ることができます。

もちろん、インプラントには外科手術や費用といった負担も伴います。
ですが、「残された歯を長く守る手段」としての価値をぜひご検討いただき、ご自身に合った方法を選択していただければと思います。

セカンドオピニオン」も行っていますので、まずはご相談ください。

初診「個別」相談へのご案内

当院では、患者さんが抱えていらっしゃるお口のお悩みや疑問・不安などにお応えする機会を設けております。どんなことでも構いませんので、私たちにお話ししていただけたらと思います。
ご興味がある方は下記からお問い合わせください。

お問い合わせ・ご予約は03-5302-3700

〒151-0053 東京都渋谷区代々木4-32-1
トーシンビルミレニアム5F

京王新線「初台駅」東口より徒歩2分