ガミースマイル

03-5302-3700

WEB予約
キービジュアル
「1回~3回」で治療終了

こんなお悩みはありませんか?

  • 口元を見られるのが怖い…
  • 歯茎が気になって思いっきり笑えない…

ガミースマイル」は歯医者で改善できます

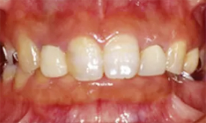
  • 治療前
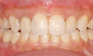
  • 治療後
  • 治療前
  • 治療後
  • 治療前
  • 治療後
  • 治療前
  • 治療後

ガミースマイルでお悩みの方へ

笑ったときに上の歯茎が過度に露出する「ガミースマイル」は、多くの方にとって大きなコンプレックスとなることがあります。この状態は、時には社会活動にも影響を及ぼす場合があります。

ガミースマイルの原因は多岐にわたります。主に、歯の長さ位置、上顎骨の発達、または上唇の筋肉の過度な緊張、過蓋咬合(ディープバイト)、そして遺伝的要因などが考えられます。

それぞれの要因について詳しくご説明します。

ガミースマイルの主な原因

歯の長さ/並びの位置の問題

歯が一般的な長さよりも短い場合、相対的に歯茎が広がり、ガミースマイルになりやすくなります。また、歯の生え始める位置が低いと、歯茎が多く露出し、結果的に笑った際に目立つことがあります。

右の画像は、ガミースマイルの改善を目的に当院にご来院頂いた患者さんの写真です。向かって左の前歯のほうが右の前歯よりも生え始める位置が低く、歯茎が目立って見えます。

上顎骨の発達の問題

上顎骨の過剰な成長は、ガミースマイルの主要な原因の一つです。上顎骨が通常よりも前方に突出している場合、歯と歯茎が前方に位置しやすくなり、このためガミースマイルが引き起こされます。

過蓋咬合の問題

過蓋咬合(ディープバイト)は、上の前歯が下の前歯を大きく覆い、咬み合わせが深い状態を指します。この現象の背後には、遺伝や激しい歯ぎしりなど多岐にわたる原因があります。この状態では、上の前歯が下の前歯を過度に覆うことで、笑う際に歯茎が目立ちやすくなり、ガミースマイルを引き起こす可能性が高まります。

上唇の筋肉の問題

骨格や歯に問題がなくても、上唇周辺の筋肉が強いと、上唇が過度に持ち上げられガミースマイルになることがあります。これは先天的な要素が強く、遺伝の影響を受けることもあります。

遺伝的な問題

ガミースマイルは、歯や歯茎、骨格、筋肉など多様な要因が絡み合って発症します。そのため、家族にガミースマイルの特徴がある場合、その傾向が子供や孫にも見られることがあります。

ただし、遺伝的要素が存在しても必ずしもガミースマイルを引き起こすとは限りません。

「自然で美しい口元」を。
当院のガミースマイル治療の特長

当院では、ガミースマイルの原因に合わせて、以下の治療法を行っています。
✅ 歯冠延長術
✅ 粘膜縫合術
✅ 歯列矯正
✅ ボトックス注射

笑ったときに見える歯ぐきのバランスや歯の形も考慮し、自然で美しい口元を目指した治療を行っているのが特長です。
患者さん一人ひとりに合わせたプランで、より自信を持てる笑顔へ導きます。

各治療について、以下で詳しくご説明します。

歯冠延長術

歯冠延長術(クラウンレングスニング)は、歯が短く見える方や、歯茎が厚く被さっている場合に効果的な施術法です。
この方法では、歯茎を切除して骨の形態を整え、歯の露出部分を増やします。これにより、歯茎が目立たず、自然な見た目を実現します。
  • 治療前
  • 治療後

粘膜縫合術

上唇の動きが過剰で歯茎が目立つ場合、粘膜縫合術を用いることで自然な笑顔に近づけます。
この治療では、上唇の内側にある余分な粘膜を切除し、上唇の動きを制限します。これにより、ガミースマイルを改善できます。

さらに、上唇の厚みが少し増して女性らしい印象の唇になります。唇の裏側の粘膜を短くするだけで、綺麗なスマイルラインを作り出せます。
  • 治療前
  • 治療後
  • 治療前
  • 治療後

歯列矯正

上あご全体が前に突出していたり、上唇がめくれていることが原因でガミースマイルに悩む患者さんには、歯列矯正による治療を提案しています。
この方法では、ガミースマイルの改善とともに、かみ合わせや歯並びを整えることも期待できます。
  • 治療前
  • 治療後

ボトックス注射

上唇の筋肉が過剰に動いてしまうケースには、ボトックス注射を用いることで筋肉の活動を抑える治療があります。
これにより、ガミースマイルの改善が期待できます。
小鼻の横に注射を行うだけなので、施術時間は短くダウンタイムもほとんどありません。

当院では女性ドクターがボトックス注射を担当しますので、安心して施術を受けられます。

初診「個別」相談へのご案内

当院では、患者さんが抱えていらっしゃるお口のお悩みや疑問・不安などにお応えする機会を設けております。どんなことでも構いませんので、私たちにお話ししていただけたらと思います。
ご興味がある方は下記からお問い合わせください。

お問い合わせ・ご予約は03-5302-3700

〒151-0053 東京都渋谷区代々木4-32-1
トーシンビルミレニアム5F

京王新線「初台駅」東口より徒歩2分