次の方にお勧め
- 再発したくない方
- 高品質な治療を求める方
- 歯科恐怖症の方
- プライベート空間希望の方

03-5302-3700

治療期間の大幅短縮も可能。そして高品質
【1日2名限定】
次の方にお勧め

当院では、すべての患者さんに質の高い医療を提供するため、
科学的根拠に基づいた診療方針を重視しています。
そのため、当院の方針にご理解・ご協力いただける方のみご予約をお受けしています。
過度な要求や予約時間を守れない場合には、診療をお断りすることがあります。
皆さまが安心して通える環境づくりにご理解をお願いします。


「短期」治療/保険外
患者さんにとって
理想の治療は一人ひとり異なります。
けれど、すべての制約を取り払って考えた時
「短期間で終わること」
「高品質で長持ちすること」
そして「自然で美しい仕上がりであること」。
この3つを兼ね備えた治療を
多くの方は求めているのではないでしょうか。
私たちは、その理想に少しでも近づけるよう、
一人ひとりの患者さんに全身全霊で向き合い、
「満足」を超える「感動」の
治療体験を追求し続けます。
1回あたりの治療時間は30分前後。
治療が小分けになり、通院の手間がかかります。
数回〜十数回にわけて通院が必要な
ケースが多く、長期化しやすい傾向があります。
担当医の経験・スキルにばらつきがあり、
医師が毎回変わるケースもあります。
保険診療が中心。
制限のある材料や手法で、再治療が必要に
なるなど、長期的な耐久性に差が出ることも。
費用を抑えながら
時間をかけて治療したい方向け
2時間確保も可能。
複数の歯を1回にまとめて治療する
ことで、時間的ロスを最小限に抑えます
ほとんどの治療が
通常よりも1/2の治療期間で終了
必要最小限の通院を目指します。
インプラント・矯正歯科・歯内療法・
歯科麻酔など、各分野の
「専門家」が診療を担当。
100%自費診療による高精度な治療。
再治療がいらない質の高い治療を
目指します。
最短で質の高い治療を
受けたい方向け

「歯医者が怖い」/「治療の痛みが不安」
そんな方のために、睡眠無痛治療(静脈内鎮静法)をご用意しています。点滴による鎮静作用で、ほぼ眠っているような状態のまま治療が完了。痛みやストレスを感じることなく、しっかりと治療を進められます。
以下の方におすすめです。
Short Term High QualityNatural Beauty
治療時間の確保と精密機器の活用、国内有数の技工士との連携により「短期」での治療を実現。各分野の専門家による「高品質」なチーム医療を提供し、機能性はもちろん「自然美」にも徹底的にこだわります。

2時間の枠を確保できるので、
4回の来院分以上の治療が可能。
治療を短縮するために、CTやマイクロスコープ、
レーザーなど最新の精密機器を各種導入
しています。
2時間の枠を確保することも可能。4倍速以上で治療が進みます。
通常の歯科治療は1回15〜30分が一般的で、治療完了までに数回〜数十回かかることもあります。
当院では1回あたり2時間を確保し、その日にできる処置はすべて実施。1日で完了する治療もあります。

精密機器を駆使することで、従来時間がかかっていた処置も1/10の時間で対応可能に。治療期間の短縮につながります。

「チーム医療」実践医院
総勢Dr8名
院長岡 昌由記Dr. MASAYUKI OKA











国内外で活躍する歯科技工士と連携し、
機能性・審美性に優れた「高品質」な治療を実現します。

歯科技工士脇田 太裕


ご存じですか?「自然美の方程式」 これらをカタチにすることでもう1つ上の自然美が手に入ります。

上の前歯の先端が下唇の曲線と平行に揃っていることが理想。

前歯3本の見え方の幅の比率が1.6 :1.0 : 0.6になると理想的。

上下ともにU字型または
卵型のラインが理想的。

上下の前歯の真ん中が顔の中心と一致していると理想的。

鼻先とあご先を結ぶ直線。このラインの内側に唇が入るのが理想的。

美しく調和のとれた口もとには、歯ぐきから歯が自然に立ち上がる形が理想的。

ABOUTShort Term
東京都渋谷区代々木にある、新宿初台の歯医者「岡歯科医院」では、「短期治療×高品質×自然美」にこだわり、失った歯の治療、一般歯科、審美治療、抜歯を回避する治療を行っています。いずれも最短1日~複数回で治療が終了。忙しい方や子育てに忙しい方もまずはご相談ください。セカンドオピニオンにも対応しています。

Protecting Smiles & Health
論より証拠


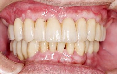
重度の虫歯と歯周病でほとんどの歯が抜けてしまった患者さん。オールオン6で機能的にも審美的にも回復したケース。


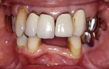
重度歯周病により、複数の歯を失っていた他院治療歴のある患者さん。インプラント・骨再生・歯周形成外科などを組み合わせて、機能性と審美性を回復した症例。


他院で治療された歯が離脱または離脱しかけていました。前歯をインプラント治療し、自然で美しい口元へと改善した症例。


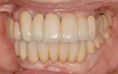
重度歯周病と虫歯で、歯がボロボロの状態だった患者さん。上顎7本の歯のインプラント治療を行い、審美性と健康を回復したケース。


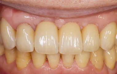
ガミースマイルと前歯の審美改善を希望され来院。歯冠長延長術と歯周形成外科で歯肉バランスを整え、前歯3本にオールセラミックを装着。笑顔の美しい口元を獲得。


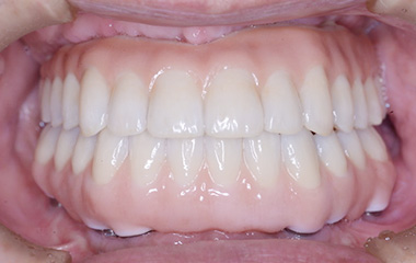
虫歯と歯周病が進行し、歯がグラグラ・ボロボロの患者さん。上が総義歯、下はオールオン6の治療を実施。自然で美しい口元へと改善した症例。

「新宿駅」から1駅、京王新線「初台駅」東口より徒歩2分、東京都渋谷区代々木の歯医者「岡歯科医院」のホームページをご覧いただき、ありがとうございます。当院では、「短期治療×高品質×自然美」に注力した難症例専門の歯科医院です。虫歯でボロボロの歯の治療を始め、重度歯周病、根管治療、歯の神経を守る治療、歯根端切除術、破折歯の治療、自家歯牙移植術、インプラント/オールオン4、削る量の少ないブリッジ、セラミック治療のやり直し、ガミースマイル、50代以降からの歯科矯正に対応しています。患者さんは都内だけでなく、全国から来院されています。睡眠無痛治療やセカンドオピニオンにも対応しているので、まずはご相談ください。